Espace Professionnel
Banque d'Observations

OBSERVATION CLINIQUE N°9

Histoire clinique

Mme A...V..., âgée de 82 ans, vit dans une résidence du troisième âge et a eu plusieurs épisodes d'infection urinaire basse au cours des mois précédents. Se plaignant à nouveau de dysurie et pollakiurie, apparues la veille et accentuées depuis, le médecin attaché à cette résidence prescrit un examen cytobactériologique des urines (ECBU). Le test de la bandelette est effectué dès le recueil d'urine dans le poste de soins infirmiers.

- Voici l'aspect macroscopique de la bandelette :

Bandelette de l'urine du malade (en haut), témoin négatif (en bas : La bandelette immergée dans l'urine de la malade est comparée à une bandelette témoin (Multistix® 8 SG). Les recherches suivantes peuvent être obtenues: 1, leucocytes; 2, nitrites; 3, protéines; 4, pH; 5, sang; 6, densité; 7, corps cétoniques; 8, glucose


- L'urine est alors adressée au laboratoire d'analyses médicales, situé dans la même rue que la résidence. L'aspect macroscopique de cette urine est précisé ci-dessous dès son arrivée (à droite) et après 2 heures de conservation à 4°C (à gauche). Enfin, un frottis est préparé ainsi qu'une numération est effectuée.

Examen microscopique oudirect

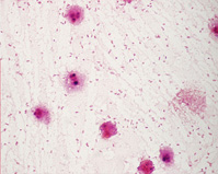
Voici la coloration de Gram réalisée sur l'urine de la patiente :

Cliquez sur la vignette pour l'agrandir.
1 2 3
4 5 6


Formulaire de réponse


Polynucléaires :

Hématies :
Cellules :
Autres éléments :

Pas de bactérie visible

Flore polymicrobienne
Coques Gram-positif :
Coques Gram-négatif :
Bacilles Gram-positif :
Bacilles Gram-négatif :

Complément Gram : bactéries capsulées
présence de spores

Eléments fongiques :
Eléments parasitaires :



Diagnostic bactériologique présomptif




Haut

|
|