Espace Professionnel
Banque d'Observations

OBSERVATION CLINIQUE N°08

Histoire clinique

Madame T... L... âgée de 98 ans arrive aux Urgences pour altération de l'état général, accompagnée de fièvre. Les symptomes se sont installés de manière progressive sur 4 à 5 jours. La patiente vit chez elle, entourée de sa famille. Elle n'a jamais été "institutionnalisée" et n'a pas reçu d'antibiotique récemment. La famille parle juste d'un épisode diarrhéique récent de très courte durée.

Les antécédents familiaux et personnels ne rélèvent rien de particulier. Madame L. a été une fumeuse occasionnelle, mais cela fait 40 ans qu'elle a complètement arrêté le tabac. Elle ne consomme pas d'alcool.

A l'examen clinique, le médecin constate la présence de quelques râles inconstants dans le champ pulmonaire droit. Il remarque également que la patiente a tendance à tousser. Questionnée à ce sujet, sa fille confirme qu'elle tousse depuis quelques jours, et que la toux sèche du début est devenue productive. La patiente est assez confuse, mais il est difficile d'apprécier s'il y a une aggravation de ses fonctions cognitives, étant donné son âge avancé.

L'infirmier relève les constantes suivantes: pouls 88/minute, TA 150/90 mm Hg, température 38,9°C.

Le médecin demande une radiographie pulmonaire, dont voici l'aspect:


Comme Madame T.L. a une quinte de toux, on en profite pour recueillir le produit d'expectoration afin de l'envoyer au laboratoire de Bactériologie.



Pouvez-vous caractériser l'aspect de ce produit pathologique ? (QCM sans patron de réponses)

A: Crachat salivaire

B: Crachat muqueux

C: Crachat purulent

D: Crachat hématique

E: Crachat hémoptoïque

Le produit d'expectoration est adressé au laboratoire de Bactériologie, en même temps que deux séries d'hémocultures (aérobie/anaérobie), prélevées à une heure d'intervalle. Ensuite, la patiente bénéficie d'une injection de 1 g de ceftriaxone (Rocéphine®), et retourne à son domicile avec une prescription d'Augmentin® 1 g x 3/jour, car elle refuse l'hospitalisation.


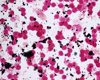
L'examen microscopique après coloration de Gram est montré ci-dessous (QCM sans patron de réponses):


A - Présence de cellules épithéliales

B - Présence de polynucléaires

C - Présence de cocco-bacilles à Gram-négatif

D - Présence d'une flore polymorphe

E - Présence d'une flore polymorphe à prédominance de coques Gram-positif

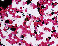
Le lendemain, les quatres flacons d'hémoculture se positivent, après des délais allant de 15 heures à 18 heures après leur introduction dans l'étuve à 37°C. Voici l'aspect d'une courbe de croissance enregistrée par l'automate BacT/Alert® sur la base de la mesure de la concentration en CO2 :



Examen microscopique ou direct

Voici la coloration de Gram réalisée à partir d'un flacon d'hémoculture positif :

Cliquez sur la vignette pour l'agrandir.
1 2 3
4 5 6


Formulaire de réponse


Pas de germe visible

Coques Gram-positif :
Coques Gram-négatif :
Bacilles Gram-positif :
Bacilles Gram-négatif :

Complément Gram : bactéries capsulées
présence de spores

Eléments fongiques :



Diagnostic bactériologique présomptif




Haut

|
|