Espace Professionnel
Banque d'Observations


OBSERVATION CLINIQUE N°05

Histoire clinique

Madame F... C... âgée de 52 ans est partie du 9 au 16 du mois de février de l'année 2003 dans le sud algérien, près de Tamanrasset pour un séjour touristique de 8 jours au sein d'un groupe de 12 personnes.

               

Au quatrième jour, soit le 12 février, Madame F... C... souffre d'une diarrhée banale dont l'aspect des selles est montré ci-dessous:

Celle-ci s'accompagne dans la nuit du 13 au 14, d'une fièvre à 38, 5°C et de frissons. La prise d'Ercéfuryl® à raison de 4 comprimés/jour ainsi que d'Imodium® n'améliore en rien son problème digestif. La diarrhée qui ne s'accompagne pas de douleurs abdominales continue jusqu'au 17 février, où elle vient aux Urgences de notre hôpital.

Un examen des selles est adressé au laboratoire de Bactériologie ainsi qu'à celui de Parasitologie. Cette malade reçoit donc de la Noroxine®, la posologie étant de 2 comprimés par jour pour un traitement de 5 jours. L'amélioration clinique est observée en quelques heures. Cet épisode diarrhéique est terminé en 24 heures.

Examen macroscopique des selles

Pouvez-vous caractériser l'aspect de ce produit pathologique ? (QCM sans patron de réponse)

A - Crachat rectal

B - Selles liquides aqueuses

C - Selles liquides hémorragiques

D - Selles riziformes

E - Selles glaireuses


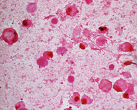
Examen microscopique ou direct

Voici la coloration de Gram réalisée à partir des selles ci-dessous :

Cliquez sur la vignette pour l'agrandir.
1 2 3
4 5 6


Formulaire de réponse


Polynucléaires :

Hématies :
Cellules :
Autres éléments :

Pas de germe visible

Flore polymicrobienne
Coques Gram-positif :
Coques Gram-négatif :
Bacilles Gram-positif :
Bacilles Gram-négatif :

Complément Gram : bactéries capsulées
présence de spores

Eléments fongiques :
Eléments parasitaires :



Diagnostic bactériologique présomptif




Haut

|
|