Espace Professionnel
Banque d'Observations

OBSERVATION CLINIQUE N°21

Histoire clinique

Monsieur B... R... âgé de 32 ans a constaté l'apparition de brûlures mictionnelles très gênantes ainsi que l'apparition d'un écoulement purulent au niveau du méat urétéral après une légère pression. Ayant eu un nouveau partenaire, il y a déjà trois jours. Il décide de voir son médecin traitant qui lui a prescrit un prélèvement urétral, avant de débuter le traitement.


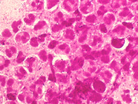
Au laboratoire, après la réalisation du prélèvement par écouvillonnage, différents milieux de culture sont ensemencés immédiatement, puis une coloration de Gram est obtenue à partir du frottis dont voici divers aspects :


Examen microscopique ou direct

Voici la coloration de Gram réalisée à partir du prélèvement ci-dessus :
Cliquez sur la vignette pour l'agrandir.
1 2 3
4 5 6

Formulaire de réponse

Polynucléaires :

Hématies :
Cellules :
Autres éléments :

Pas de germe visible

Flore polymicrobienne
Coques Gram-positif :
Coques Gram-négatif :
Bacilles Gram-positif :
Bacilles Gram-négatif :

Complément Gram : bactéries capsulées
présence de spores

Eléments fongiques :
Eléments parasitaires :



Diagnostic bactériologique présomptif